Des scientifiques espagnols viennent de mettre en évidence les mécanismes génétiques responsables de l’évolution des membres des vertébrés qui leur a permis de passer de la mer à la terre ferme. Grâce à cela, ils ont réussi à transformer les nageoires d'un poisson-zèbre en "proto-membres".
![]() |
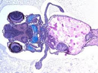
| Embryon de poisson Zebra a qui on a introduit le gène HOXD13 |
L’étude des fossiles nous éclaire peu à peu sur les mystères de l’évolution de la vie. L'un des phénomènes les plus étonnants et encore mystérieux est surement celui du passage de la vie marine à la vie terrestre. Mais au fil des ans, les indices récoltés ont permis de reconstituer les grandes lignes de l’histoire. On sait actuellement que les nageoires des vertébrés ont subi toute une série d’étapes, s’allongeant et s’amincissant jusqu’à former des membres adaptées à la locomotion sur la terre ferme. Un mécanisme sur lequel on en sait un peu plus aujourd'hui.
Pour en arriver à une telle conclusion, les chercheurs ont étudié le développement embryonnaire du poisson zèbre, organisme modèle particulièrement apprécié des généticiens. Leurs expériences ont consisté à introduire sur le bout de la nageoire des embryons un gène, HOXD13, connu pour jouer un rôle dans la distinction des différentes parties du corps.
Une mutation responsable de la pousse des membres ?
Les résultats, publiés dans la revue Developmental Cell, indiquent que sous l’effet de HOXD13, du cartilage se forme au détriment des nageoires. Autrement dit, les poissons zèbres issus des embryons n'ont pas développé des nageoires normales mais des proto-membres avec des tissus cartilagineux très semblables à ceux des animaux terrestres. Au regard de ces résultats, les scientifiques ont cherché à savoir si cet élément génétique avait dans le passé subi une augmentation provoquant ainsi le développement des membres.
Pour répondre à cette question, un régulateur du gène, prélevé sur des embryons de souris, a également été introduit sur les nageoires en devenir. "Nous avons découvert que chez le poisson zèbre l'élément de contrôle de HOXD13 était capable de diriger l'expression du gène dans la plus extrême de la nageoire'' indique dans un communiqué José Luis Gómez-Skarmeta, co-auteur de l’étude.
Selon le scientifique, ce régulateur était présent dans le dernier ancêtre commun aux animaux à nageoires à ceux à pattes. L'hypothèse formulée est ainsi qu'une mutation de ce régulateur a pu survenir à cette époque et entrainer une surexpression du gène HOXD13, qui aurait alors provoqué la pousse de proto-membres cartilagineux.
